Đóng

Hà Nội ghi nhận ca mắc não mô cầu là trẻ 11 tuổi, chưa tiêm vaccine

(VTC News) -

Bé gái 11 tuổi ở xã Dương Hòa nhập viện vì sốt cao, mệt mỏi, được chẩn đoán mắc não mô cầu – bệnh truyền nhiễm nguy hiểm hiếm gặp.

Trong tuần từ 26/9 đến 3/10, Trung tâm Kiểm soát bệnh tật (CDC) Hà Nội ghi nhận một trường hợp mắc bệnh não mô cầu tại xã Dương Hòa. Bệnh nhân là bé gái 11 tuổi, chưa được tiêm vaccine phòng bệnh. Trẻ sốt cao, đau đầu, mệt mỏi và được đưa vào Bệnh viện Nhi Trung ương ngày 25/9. Bệnh nhi đã tỉnh táo, sức khỏe ổn định.

Đây là ca thứ hai mắc não mô cầu tại Hà Nội trong năm 2025, số ca mắc tăng so với cùng kỳ năm ngoái (1 ca, không tử vong). CDC Hà Nội nhận định đây là bệnh truyền nhiễm nguy hiểm có khả năng lây lan nhanh trong cộng đồng nếu không phát hiện và xử lý kịp thời.

Cùng thời gian, toàn thành phố ghi nhận 336 ca mắc sốt xuất huyết, tăng nhẹ so với tuần trước (321 ca), không có trường hợp tử vong. Các ca bệnh phân bố tại 95 phường, xã, trong đó nhiều nhất là Long Biên (17 ca), Dân Hòa (16), Thanh Liệt (14), Xuân Phương và Hà Đông cùng ghi nhận 10 ca.

Tính từ đầu năm đến nay, Hà Nội ghi nhận 2.568 ca mắc sốt xuất huyết, giảm 33% so với cùng kỳ năm 2024 (3.814 ca).

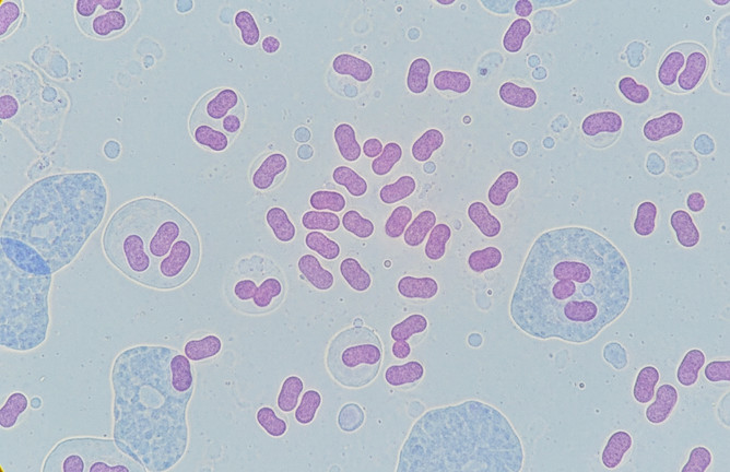
Vi khuẩn Neisseria meningitidis hay còn gọi là não mô cầu, là tác nhân chính gây ra bệnh viêm màng não ở trẻ nhỏ.

Dịch tay chân miệng có dấu hiệu gia tăng với 195 trường hợp mới trong tuần, tăng 4 ca so với tuần trước. Bệnh ghi nhận tại 74 phường, xã, nhiều nhất tại Từ Liêm (7 ca), Thường Tín, Cổ Đô và Phù Đổng (mỗi nơi 6 ca). Cộng dồn năm 2025, thành phố có 4.734 ca, không có tử vong. So với cùng kỳ năm ngoái (2.112 ca), số mắc tăng hơn gấp đôi.

Bệnh sởi tuy giảm nhẹ so với tuần trước (5 ca, giảm 2) nhưng vẫn ở mức cao, với 4.399 ca từ đầu năm, phân bố tại 125 phường, xã. Từ đầu năm đến nay thành phố ghi nhận 1 ca tử vong, tăng so với cùng kỳ năm 2024 (17 ca, 0 tử vong).

Hà Nội cũng ghi nhận 2 ca ho gà trong tuần tại Sơn Tây và Tây Mỗ. Tổng số mắc trong năm là 30 ca, giảm mạnh so với cùng kỳ năm trước (236 ca).

CDC Hà Nội tiếp tục giám sát, xử lý các ổ dịch sốt xuất huyết đang hoạt động tại nhiều địa bàn, bao gồm: Nội Bài, Long Biên, Dân Hòa (6/10); Phú Xuyên, Phú Cát, Vĩnh Hưng (7/10); Hát Môn (8/10).

Ngành y tế cũng đang triển khai các chiến dịch diệt lăng quăng, phun hóa chất diệt muỗi trưởng thành, phối hợp phòng chống bệnh Chikungunya – một bệnh truyền nhiễm do muỗi truyền, có triệu chứng tương tự sốt xuất huyết.

Như Loan

Tin mới