Đóng

Cắt bỏ khối u thận nặng tới 2,8 kg

Bệnh nhân nhập viện với triệu chứng đái ra máu kéo dài, đau vùng thắt lưng, kết quả thăm khám phát hiện u thận với kích thước lớn

Bệnh viện Trung ương Quân đội 108 cho biết các bác sĩ Khoa Tiết niệu vừa phẫu thuật lấy khối u thận khổng lồ cho nam bệnh nhân 49 tuổi, ở Hà Nội.

Bệnh nhân vào viện với triệu chứng đái máu kéo dài và đau vùng thắt lưng phải kéo dài hơn 1 tháng, tiền sử thận đa nang bẩm sinh 2 bên phát hiện nhiều năm, suy thận mạn giai đoạn cuối đã lọc máu chu kì 2 lần/tuần.

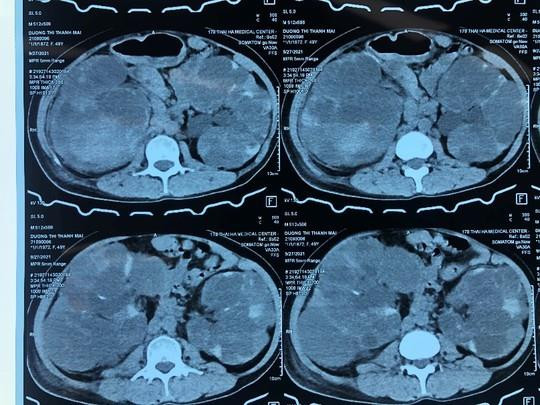
Hình ảnh thận đa nang 2 bên, nang thận phải chảy máu. (Ảnh: Bệnh viện cung cấp)

 

Theo bác sĩ Trần Đức Dũng, Khoa Tiết niệu, Bệnh viện Trung ương Quân đội 108, thăm khám cho thấy bụng bệnh nhân to, căng chắc cả 2 bên, bên phải to hơn, ấn đau bên phải, thể trạng yếu, hội chứng thiếu máu, hình ảnh CT Scan hệ tiết niệu: thận đa nang 2 bên, bên phải có hình ảnh chảy máu trong nang kích thước thận lớn 15 cm. Soi bàng quang có máu đỏ phun từ thận phải.

Kết quả hội chẩn phát hiện khối u thận đa nang kích thước lớn bên phải có biến chứng đái máu kéo dài gây mất máu, có chỉ định phẫu thuật. Sau một giờ phẫu thuật các bác sĩ đã bóc tách khối u thận hơn 30 cm, nặng tới 2,8 kg. Một tuần sau phẫu thuật bệnh nhân ổn định, ăn uống sinh hoạt bình thường và được tiếp tục điều trị lọc máu theo chu kì.

Bác sĩ Dũng khuyến cáo, người bệnh bị thận đa nang nên khám sức khỏe thường xuyên theo hẹn của bác sĩ chuyên khoa thận để kiểm soát huyết áp, chế độ ăn ít muối, ít protein, uống đủ nước, uống thuốc kháng sinh khi có nhiễm khuẩn. Đặc biệt cân nhắc ghép thận trong tương lai.

Theo bác sĩ Dũng, thận đa nang là bệnh di truyền trong đó nếu di truyền theo tính trạng trội thường khởi phát bệnh ở tuổi trung niên, còn theo tình trạng lặn thường khởi phát ở tuổi thiếu niên.

Khởi phát bệnh thường là người lớn biểu hiện lâm sàng thường xuất hiện sau 30-40 tuổi, rất ít gặp khởi phát bệnh khi còn nhỏ. Bệnh thận nang có thể kết hợp với nang gan cùng các bất thường tim mạch và thường dẫn tới suy thận giai đoạn cuối.

Nguồn: Báo Người Lao Động

Tin mới