Đóng

Cô gái mang song thai suốt 17 năm không hề hay biết

Bụng cô gái ở Ấn Độ cứ to dần dù không ăn nhiều, bác sĩ nghi có khối u, kết quả chụp CT bất ngờ phát hiện bào thai đôi.

Hai thai song sinh đã bị biến dạng song vẫn đang phát triển trong bụng cô gái 17 tuổi. Ban đầu kiểm tra, các bác sĩ không nhìn rõ bào thai.

Kiểm tra kỹ hơn, họ khẳng định là thai nhi dù không hoàn chỉnh, với xương đốt sống, xương sườn và xương đùi. Ngoài ra, bào thai còn có tóc và răng, cùng những cấu trúc mô không định hình mà nếu phát triển bình thường sẽ thành những bộ phận cơ thể trẻ sơ sinh.

Bác sĩ xác định đây là hiện tượng thai trong thai, xảy ra một trong số 500.000 ca sinh sản trên thế giới. Tình trạng thai trong thai thường gặp ở trẻ trai, được phát hiện sớm và hiếm khi vượt quá thời thơ ấu.

Trường hợp cô gái trẻ này được báo cáo mới đây trên Tạp chí y khoa Anh, là người đầu tiên mang thai song sinh bất thường trong cơ thể mình đến tuổi trưởng thành. Theo Viện khoa học Y khoa All India, cô cũng là người phụ nữ lớn tuổi nhất được xác định vẫn "mang dấu tích của một song thai".

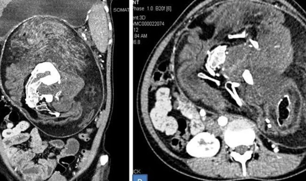
Ảnh chụp CT khối thai song sinh trong cơ thể cô gái. (Ảnh: BMJ Case Reports) 

Thai đôi dị dạng bắt đầu phát triển cùng với cô gái khi cô còn trong bụng mẹ, bị hấp thụ vào cơ thể của cô gái và không thể phát triển thêm nữa. Các bác sĩ lý giải, trong bụng người mẹ khi ấy mang ba thai nhi. Một trong ba thai phát triển và lấn lướt hai thai kia, khiến chúng không phát triển bình thường.

Thai phát triển bình thường và đứa trẻ được sinh ra là cô gái. Hai thai kia không phát triển hệ thần kinh và não, nhưng vẫn sống được như "vật ký sinh" nhờ hấp thụ chất dinh dưỡng từ trong bụng cô gái.

"Quái thai" thường kết thúc bằng diễn biến người mẹ sảy thai do không đủ dinh dưỡng cho thai nhi còn nguyên vẹn. Nếu thai nhi sống sót, hiện tượng này sẽ nhanh chóng được bác sĩ phát hiện trong khi người mẹ sinh nở hoặc thời thơ ấu của đứa trẻ "thai trong thai". Có bảy trường hợp "sống chung với thai nhi" được phát hiện và nay đã trưởng thành.

Các bác sĩ đã phẫu thuật lấy toàn bộ tế bào của đôi song sinh ra khỏi cơ thể cô gái trẻ và tiếp tục theo dõi sức khỏe để đề phòng dấu hiệu bất thường, như tiến triển thành ung thư.

"Tôi rất lo lắng, sau khi phẫu thuật đã khỏe hơn và bụng bây giờ phẳng", cô gái trẻ nói sau hai năm mổ lấy quái thai ra khỏi cơ thể.

Cô gái trẻ ở Tuyên Quang mang song thai dính liền, chung một quả tim

Một cô gái trẻ ở Tuyên Quang mang song thai dính nhau từ phần phần ngực xuống đến phần bụng, có chung một quả tim.
 
 

Mẹ và song thai thiệt mạng thương tâm do mắc cúm mùa

Thai phụ 31 tuổi, quê Thanh Hóa mang song thai 24 tuần tuổi thiệt mạng do gặp biến chứng quá nặng khi mắc cúm mùa.
Nguồn: VnExpress

Tin mới