Đóng

Bé 11 tháng tuổi nhiễm vi khuẩn 'ăn thịt người' Whitmore

(VTC News) -

Khoa Nhi - Bệnh viện Đa khoa Hùng Vương vừa tiếp nhận bé 11 tháng tuổi bị nhiễm vi khuẩn "ăn thịt người" Whitmore.

Trẻ nhập viện trong tình trạng sốt ngày thứ 7, đã điều trị tại bệnh viện huyện 5 ngày nhưng vẫn sốt cao từng cơn 40 độ C. Trong cơn sốt kèm rét run, ho đờm nhiều, khò khè.

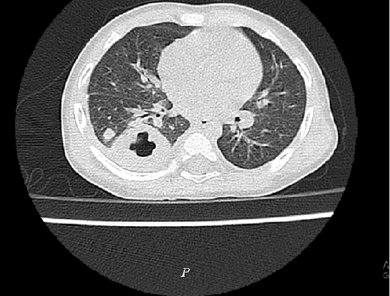
Nhận thấy đây là ca bệnh nặng, các bác sĩ cho bệnh nhi làm các xét nghiệm máu, chụp X-quang tim phổi, cấy máu, chụp cắt lớp vi tính phổi.

Kết quả chẩn đoán bệnh nhi bị nhiễm khuẩn huyết, áp xe phổi, được chỉ định điều trị kháng sinh liều cao phổ rộng.

Sau 3 ngày, kết quả cấy máu xác định bệnh nhi dương tính với vi khuẩn Whitmore (Burkholderia pseudomallei).

Các bác sĩ hội chẩn toàn viện cùng các chuyên gia Bệnh viện Nhi Trung uơng và kết luận: Ngoài vấn đề dùng kháng sinh điều trị bệnh, bệnh nhi cần can thiệp phẫu thuật ngoại khoa dẫn lưu mủ trong phổi. Do vậy, bệnh nhi đã được chuyển Bệnh viện Nhi Trung ương tiếp tục điều trị.

Hiện, các bác sĩ Bệnh viện Đa khoa Hùng Vương cho biết vẫn chưa rõ bé nhiễm vi khuẩn Whitmore từ nguồn nào.

Ảnh X-quang tình trạng nhiễm khuẩn huyết, áp xe phổi do vi khuẩn Withmore. (Ảnh: BVCC)

Bệnh Whitmore là gì?

Theo BS Phạm Văn Hà - khoa Nhi, Bệnh viện Nhi Trung ương, bệnh vi khuẩn "ăn thịt người” (tên khoa học Whitmore) là căn bệnh truyền nhiễm rất khó phát hiện và điều trị kịp thời do dễ nhầm lẫn với các bệnh khác. Ngay cả khi được chẩn đoán đúng bệnh, việc điều trị cũng vô cùng khó khăn và có nguy cơ mất mạng cao.

Bệnh Whitmore (hay còn gọi là melioidosis) là bệnh truyền nhiễm nguy hiểm cấp tính do vi khuẩn gram âm có tên Burkholderia pseudomallei gây nên. Bệnh do bác sĩ Afred Whitmore mô tả năm 1912 tại Miến Điện, từ đó lấy tên Whitmore. Vi khuẩn này sống trên bề mặt nước và trong đất đặc biệt là bùn đất, lây sang người qua vết trầy xước trên da hoặc qua đường hô hấp khi hít phải các hạt bụi đất hoặc giọt nước li ti trong không khí có chứa vi khuẩn, nhất là vào mùa mưa.

Biểu hiện bệnh thế nào?

BS Hà cho biết, bệnh Whitmore biểu hiện ở các vị trí khác nhau nên dấu hiệu và triệu chứng cũng khác nhau. 

Trường hợp nhiễm trùng phổi: Tác động của nhiễm trùng phổi có thể từ viêm phế quản nhẹ đến viêm phổi nặng với các triệu chứng như sốt, nhức đầu, chán ăn, ho, khó thở, đau ngực và đau nhức cơ.

Khi nhiễm trùng cục bộ: Người bệnh có thể bị đau hoặc sưng ở một vùng nhất định (khu trú) như tuyến mang tai, nơi thường liên quan nhất với quai bị và nằm bên dưới và phía trước tai.

Nhiễm trùng trên da (viêm mô tế bào) bệnh nhân sẽ thấy đau hoặc sưng, loét và áp xe, kèm theo sốt và đau cơ.

Trường hợp người bệnh bị nhiễm trùng máu: Vi khuẩn Whitmore xâm nhập vào máu sẽ gây nên các triệu chứng như sốt cao rét run, đau đầu, đau họng, khó thở, đau vùng bụng trên, tiêu chảy, đau khớp và đau cơ, vết loét có mủ trên da…

Cuối cùng là nhiễm trùng lan tỏa: cơ thể bệnh nhân sẽ xuất hiện vết loét hình thành ở nhiều cơ quan khác nhau rải rác trên cơ thể, sụt cân, đau đầu, co giật, đau ở các bộ phận khác nhau (ngực, dạ dày, cơ, khớp).

Phòng Whitmore thế nào?

Theo BS Hà, bệnh Whitmore nếu không được phát hiện sớm, điều trị kịp thời, bệnh nhân rất dễ bị thiệt mạng, do vậy, việc phòng bệnh là rất quan trọng.

Do vi khuẩn thường xuất hiện ở nơi ẩm, ướt nên người dân cần mang giày, ủng và găng tay bảo hộ khi làm việc ở môi trường nước.

Tránh tiếp xúc với những nơi có nguồn nước, đất bị ô nhiễm nếu mắc bệnh tiểu đường, viêm thận mãn tính có vết xước, hay vết thương hở trên da.

Tránh ra đường trong mùa mưa bão, nước ngập vì vi khuẩn gây bệnh Whitmore có thể sống rất lâu trong môi trường này; hoặc che chắn, băng bó vết thương cẩn thận nếu phải ra ngoài lúc trời mưa bão.

Nhân viên y tế nên đeo khẩu trang, găng tay và áo khoác diệt khuẩn khi làm việc.

Luôn khử trùng thớt, dao và thường xuyên thay miếng rửa chén trong gia đình.

Uống nước đun sôi, nước đóng chai.

Nếu nghi ngờ mắc bệnh Whitmore, hãy đến ngay cơ sở y tế để được thăm khám và điều trị kịp thời.

Video: Vì sao số bệnh nhân Whitmore có dấu hiệu gia tăng?

Phạm Quý

Tin mới